
Sinovita de șold la copii – cauze, simptome și opțiuni de tratament
Sinovita de șold este o inflamație temporară a membranei sinoviale a articulației șoldului, care afectează în mod frecvent copiii cu vârsta între 2 și 8 ani. Aceasta poate apărea pe fondul unei infecții virale recente sau în urma unui traumatism minor.
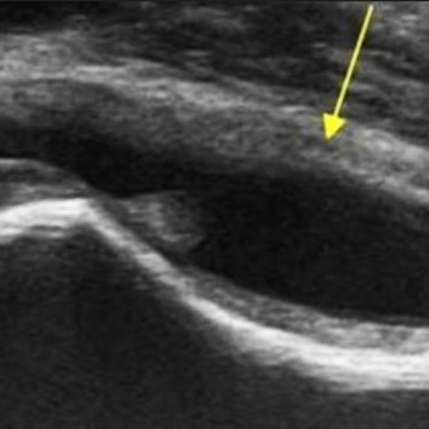
Diagnosticul este stabilit prin examinare clinică, urmată de ecografie pentru a detecta acumularea de lichid în articulație.
Cu intervenție promptă și îngrijire corespunzătoare, sinovita de șold are un prognostic foarte bun, cu recuperare completă în câteva zile până la săptămâni.
Refuză să calce pe picior? Poate fi sinovită de șold.
Atunci când un copil începe brusc să șchiopăteze sau să evite sprijinirea pe un picior, este normal ca părinții să se îngrijoreze. În multe cazuri, cauza poate fi sinovita de șold – o inflamație benignă, dar incomodă, care afectează copiii mici și apare frecvent după o răceală sau un efort fizic intens.
La CRON – Phoenix, înțelegem cât de important este un diagnostic rapid și corect. Prin ecografie și consult specializat, identificăm cauza reală a disconfortului și recomandăm tratamentul potrivit, adaptat vârstei și nevoilor copilului.
Cu puțină răbdare, repaus și tratament adecvat, micuțul tău își va relua activitățile preferate fără durere. Suntem aici să îți oferim răspunsuri clare și sprijin real – pentru ca tu să fii liniștit, iar copilul tău, sănătos.

Afecțiuni tratate de noi
Plagiocefalie
Diagnostic, cauze și soluții eficiente Plagiocefalia – Ce este „capul turtit” la bebeluși și cum se tratează? Plagiocefalia pozițională, cunoscută și ca sindromul „capului turtit”, este o afecțiune frecventă în…
Scolioza
De la identificare timpurie la soluții eficiente pentru sănătatea coloanei Scolioza – Ce este și cum o tratăm corect Scolioza este o deformare complexă a coloanei vertebrale, caracterizată prin curburi…
Luxația de șold
Înțelege cauzele, recunoaște simptomele, acționează din timp Luxația congenitală de șold – diagnostic timpuriu pentru o dezvoltare normală Luxația congenitală de șold este o malformație serioasă a articulației șoldului, care…
Sinovita de șold
O afecțiune frecventă, dar tratabilă, cu intervenție timpurie Sinovita de șold la copii – cauze, simptome și opțiuni de tratament Sinovita de șold este o inflamație temporară a membranei sinoviale…
Piciorul strâmb Varus Equin
Cauze, simptome și riscuri ale uneia dintre cele mai frecvente malformații ortopedice la nou-născuți Piciorul strâmb congenital (varus equin) – afecțiune prezentă la naștere, dar tratabilă Piciorul strâmb congenital sau…
Piciorul Tal Valg
Afecțiune frecventă, dar tratabilă cu intervenție timpurie Piciorul tal valg la copii – ce este și cum îl recunoaștem? Piciorul tal valg este o deformare ortopedică frecvent întâlnită la sugari…
Afecțiuni tratate de noi
Plagiocefalie
Diagnostic, cauze și soluții eficiente Plagiocefalia – Ce este „capul turtit” la bebeluși și cum se tratează? Plagiocefalia pozițională, cunoscută și ca sindromul „capului turtit”, este o afecțiune frecventă în…
Scolioza
De la identificare timpurie la soluții eficiente pentru sănătatea coloanei Scolioza – Ce este și cum o tratăm corect Scolioza este o deformare complexă a coloanei vertebrale, caracterizată prin curburi…
Luxația de șold
Înțelege cauzele, recunoaște simptomele, acționează din timp Luxația congenitală de șold – diagnostic timpuriu pentru o dezvoltare normală Luxația congenitală de șold este o malformație serioasă a articulației șoldului, care…
Sinovita de șold
O afecțiune frecventă, dar tratabilă, cu intervenție timpurie Sinovita de șold la copii – cauze, simptome și opțiuni de tratament Sinovita de șold este o inflamație temporară a membranei sinoviale…
Piciorul strâmb Varus Equin
Cauze, simptome și riscuri ale uneia dintre cele mai frecvente malformații ortopedice la nou-născuți Piciorul strâmb congenital (varus equin) – afecțiune prezentă la naștere, dar tratabilă Piciorul strâmb congenital sau…
Piciorul Tal Valg
Afecțiune frecventă, dar tratabilă cu intervenție timpurie Piciorul tal valg la copii – ce este și cum îl recunoaștem? Piciorul tal valg este o deformare ortopedică frecvent întâlnită la sugari…
Ai întrebări?
Contactează-ne!
Echipa noastră de specialiști este gata să îți răspundă la orice întrebare și să te ghideze spre cea mai bună soluție pentru copilul tău. Fie că ai nevoie de o programare sau doar de mai multe informații, suntem aici să te ajutăm!
