
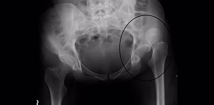
Luxația congenitală de șold – diagnostic timpuriu pentru o dezvoltare normală
Luxația congenitală de șold este o malformație serioasă a articulației șoldului, care apare din cauza unei dezvoltări anormale între capul femural și cavitatea acetabulară. Netratată, această afecțiune poate afecta profund mersul, echilibrul și mobilitatea copilului.
Diagnosticul precoce este esențial și se bazează pe examinarea clinică și ecografia de șold efectuată ideal în prima lună de viață. Tratamentul variază în funcție de severitate și vârsta copilului – de la hamul Pavlik și imobilizări gipsate, până la intervenții chirurgicale și recuperare prin kinetoterapie specializată.
La CRON – Phoenix, evaluăm și tratăm luxația de șold în cadrul unui program personalizat, multidisciplinar, adaptat fiecărui copil.
Luxația de șold nu trebuie să sperie
Pentru un părinte, vestea că bebelușul are o problemă la șold poate părea copleșitoare. Însă realitatea medicală ne arată că luxația congenitală de șold poate fi tratată cu succes dacă este diagnosticată la timp și urmată cu grijă.
Semne precum pliuri asimetrice, diferențe de lungime între picioare sau dificultăți de abducție a coapselor sunt indicii importante. Dacă ai suspiciuni sau îngrijorări, o simplă ecografie poate face diferența.
Cu sprijinul unei echipe dedicate și prin terapii adaptate (poziționare, ham Pavlik, kinetoterapie), majoritatea cazurilor evoluează foarte bine, fără intervenții invazive.
La CRON – Phoenix, oferim nu doar tratament, ci și încredere, însoțindu-te cu empatie și profesionalism în fiecare etapă a recuperării copilului tău.

Afecțiuni tratate de noi
Plagiocefalie
Diagnostic, cauze și soluții eficiente Plagiocefalia – Ce este „capul turtit” la bebeluși și cum se tratează? Plagiocefalia pozițională, cunoscută și ca sindromul „capului turtit”, este o afecțiune frecventă în…
Scolioza
De la identificare timpurie la soluții eficiente pentru sănătatea coloanei Scolioza – Ce este și cum o tratăm corect Scolioza este o deformare complexă a coloanei vertebrale, caracterizată prin curburi…
Luxația de șold
Înțelege cauzele, recunoaște simptomele, acționează din timp Luxația congenitală de șold – diagnostic timpuriu pentru o dezvoltare normală Luxația congenitală de șold este o malformație serioasă a articulației șoldului, care…
Sinovita de șold
O afecțiune frecventă, dar tratabilă, cu intervenție timpurie Sinovita de șold la copii – cauze, simptome și opțiuni de tratament Sinovita de șold este o inflamație temporară a membranei sinoviale…
Piciorul strâmb Varus Equin
Cauze, simptome și riscuri ale uneia dintre cele mai frecvente malformații ortopedice la nou-născuți Piciorul strâmb congenital (varus equin) – afecțiune prezentă la naștere, dar tratabilă Piciorul strâmb congenital sau…
Piciorul Tal Valg
Afecțiune frecventă, dar tratabilă cu intervenție timpurie Piciorul tal valg la copii – ce este și cum îl recunoaștem? Piciorul tal valg este o deformare ortopedică frecvent întâlnită la sugari…
Afecțiuni tratate de noi
Plagiocefalie
Diagnostic, cauze și soluții eficiente Plagiocefalia – Ce este „capul turtit” la bebeluși și cum se tratează? Plagiocefalia pozițională, cunoscută și ca sindromul „capului turtit”, este o afecțiune frecventă în…
Scolioza
De la identificare timpurie la soluții eficiente pentru sănătatea coloanei Scolioza – Ce este și cum o tratăm corect Scolioza este o deformare complexă a coloanei vertebrale, caracterizată prin curburi…
Luxația de șold
Înțelege cauzele, recunoaște simptomele, acționează din timp Luxația congenitală de șold – diagnostic timpuriu pentru o dezvoltare normală Luxația congenitală de șold este o malformație serioasă a articulației șoldului, care…
Sinovita de șold
O afecțiune frecventă, dar tratabilă, cu intervenție timpurie Sinovita de șold la copii – cauze, simptome și opțiuni de tratament Sinovita de șold este o inflamație temporară a membranei sinoviale…
Piciorul strâmb Varus Equin
Cauze, simptome și riscuri ale uneia dintre cele mai frecvente malformații ortopedice la nou-născuți Piciorul strâmb congenital (varus equin) – afecțiune prezentă la naștere, dar tratabilă Piciorul strâmb congenital sau…
Piciorul Tal Valg
Afecțiune frecventă, dar tratabilă cu intervenție timpurie Piciorul tal valg la copii – ce este și cum îl recunoaștem? Piciorul tal valg este o deformare ortopedică frecvent întâlnită la sugari…
Ai întrebări?
Contactează-ne!
Echipa noastră de specialiști este gata să îți răspundă la orice întrebare și să te ghideze spre cea mai bună soluție pentru copilul tău. Fie că ai nevoie de o programare sau doar de mai multe informații, suntem aici să te ajutăm!
